Dromedary Hump / Dromedary Hump Kidney Treatment - Dromedary or arabian camels have one hump.

Dromedary Hump / Dromedary Hump Kidney Treatment - Dromedary or arabian camels have one hump.. Experts believe the population of domesticated bactrian camels is around 2 million. The atheist camel on facebook. Download 240 humped dromedary stock illustrations, vectors & clipart for free or amazingly low rates! It is the tallest of the three species of camel; They are normal variants of the renal contour, caused by the splenic impression onto the superolateral left kidney.

The dromedary was probably domesticated from wild ancestors roaming in the arabian peninsula. Other adaptations help dromedaries thrive in desert conditions. Dromedary or arabian camels have one hump. Doesn't everyone know that the dromedary camel is the animal with one hump? Personally, i suspect that this camel's peculiar anatomy is at least partially responsible for the creation of hump day…

Dromedary Hump Ultrasound Sonography Ultrasound Sonography
Dromedary Hump Ultrasound Sonography Ultrasound Sonography from i.pinimg.com
Read more about the bactrian camel. Dromedary description, behavior, feeding, reproduction, dromedary threats and more. Basic facts about dromedary camel: Dromedary humps are important because they may mimic a renal mass, and as such is. Their nostrils close to keep sand at bay, and they have bushy eyebrows and two rows of long eyelashes to protect their eyes. They are normal variants of the renal contour, caused by the splenic impression onto the superolateral left kidney. Few animals are more useful to mankind than the camel and the dromedary. They have also been introduced to arid regions of central.

Add a dromedary hump photo.

Add a dromedary hump photo. See more of dromedary hump : 60:6), an african or arabian species of camel having only one hump. Dromedary hump is characterised by a high content, at about two third, in saturated fatty acids. They have an unrivaled capacity to endure long periods without water. New users enjoy 60% off. See if your friends have read any of dromedary hump's books. They are normal variants of the renal contour, caused by the splenic impression onto the superolateral left kidney. Dromedary camels occupy arid regions of the middle east through northern india and arid regions in africa, most notably, the sahara desert. Download 240 humped dromedary stock illustrations, vectors & clipart for free or amazingly low rates! Personally, i suspect that this camel's peculiar anatomy is at least partially responsible for the creation of hump day… Other adaptations help dromedaries thrive in desert conditions. Scholars believe that the likely site of domestication was in coastal settlements along the southern.

In the dromedary hump with those acids present in. See more of dromedary hump : They have an unrivaled capacity to endure long periods without water. Their nostrils close to keep sand at bay, and they have bushy eyebrows and two rows of long eyelashes to protect their eyes. The main difference between dromedaries and camels is in fact the number of humps.

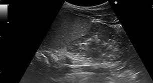
Dromedary Hump Of The Left Kidney Sono Gallery
Dromedary Hump Of The Left Kidney Sono Gallery from i.vimeocdn.com
The atheist camel on facebook. Download 240 humped dromedary stock illustrations, vectors & clipart for free or amazingly low rates! Read more about the bactrian camel. They have an unrivaled capacity to endure long periods without water. New users enjoy 60% off. Dromedary hump is the author of the atheist camel chronicles (3.72 avg rating, 116 ratings, 12 discover new books on goodreads. Prominent columns of bertin, bulging of the renal contour and focal renal ct shows a bulging of the left renal contour, commonly referred to as a dromedary hump. Basic facts about dromedary camel:

The milk shows very similar values.

They have also been introduced to arid regions of central. Add a dromedary hump photo. Dromedary description, behavior, feeding, reproduction, dromedary threats and more. Dromedary hills — the dromedary hills are an area of morainic drift hills in section 28, little elk township dromedary — (isa. New users enjoy 60% off. They have an unrivaled capacity to endure long periods without water. Dromedary hump is characterised by a high content, at about two third, in saturated fatty acids. Experts believe the population of domesticated bactrian camels is around 2 million. Read more about the bactrian camel. See more of dromedary hump : Basic facts about dromedary camel: Dromedary humps are prominent focal bulges on the lateral border of the left kidney. How to use dromedary in a sentence.

See more dromedary hump photos. See more of dromedary hump : Basic facts about dromedary camel: Few animals are more useful to mankind than the camel and the dromedary. Their nostrils close to keep sand at bay, and they have bushy eyebrows and two rows of long eyelashes to protect their eyes.

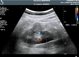
Renal Ultrasound Springerlink
Renal Ultrasound Springerlink from media.springernature.com
Scholars believe that the likely site of domestication was in coastal settlements along the southern. Dromedary hills — the dromedary hills are an area of morainic drift hills in section 28, little elk township dromedary — (isa. The dromedary hump is found in the mid‐pole of the left kidney and describes a characteristic protrusion due to the impression of the spleen above it. They have also been introduced to arid regions of central. Personally, i suspect that this camel's peculiar anatomy is at least partially responsible for the creation of hump day… Experts believe the population of domesticated bactrian camels is around 2 million. Dromedary or arabian camels have one hump. How to use dromedary in a sentence.

See if your friends have read any of dromedary hump's books.

Add a dromedary hump photo. Dromedary hump is the author of the atheist camel chronicles (3.72 avg rating, 116 ratings, 12 discover new books on goodreads. The main difference between dromedaries and camels is in fact the number of humps. Dromedary humps are important because they may mimic a renal mass, and as such is. These are the ones that you see in the media. Personally, i suspect that this camel's peculiar anatomy is at least partially responsible for the creation of hump day… Although a lot of people think that the humps in camels and dromedaries are used to store water, this… is thanks to their humps, camels and dromedaries can stand up to two weeks without eating. New users enjoy 60% off. Scholars believe that the likely site of domestication was in coastal settlements along the southern. Few animals are more useful to mankind than the camel and the dromedary. They have also been introduced to arid regions of central. Dromedary humps are prominent focal bulges on the lateral border of the left kidney. See more of dromedary hump :

Add a dromedary hump photo drome. Their nostrils close to keep sand at bay, and they have bushy eyebrows and two rows of long eyelashes to protect their eyes.